神経系の全体構造
■ 神経系の構成
神経系は大きく
・中枢神経系
・末梢神経系
に分けられる。
● 中枢神経系
・脳
・脊髄
👉 中枢神経系は「情報を統合・判断する司令塔」。
● 末梢神経系
👉 中枢と全身をつなぐ伝達経路。
体性神経(随意運動)と自律神経(交感・副交感)を含む。
⸻
■ 脳の構成
脳は以下のように分類される。
・前脳(大脳+間脳)
・脳幹(中脳+橋+延髄)
・小脳
※成人脳重量:約1300g
⸻
● 前脳
👉 高次機能の中心。
思考・感情・意識・感覚統合を担う。
◉ 間脳(前脳の一部)
・視床
・視床下部
👉 視床:感覚情報の中継核
👉 視床下部:自律神経・内分泌・体温調節の中枢
生命維持と高次機能をつなぐ「調整センター」。
⸻
● 脳幹
👉 生命維持中枢。
呼吸・循環・意識レベルの調節に関与。
進化的に古い構造で、原始的な脊椎動物にも存在する。
⸻
● 小脳
👉 運動の協調と平衡機能を担う。
「動きを滑らかにする装置」。
運動の精密化に重要。
⸻
■ 進化的な視点
進化の過程では
① 脳幹(生命維持)
② 間脳(自律調整)
③ 大脳(思考・人格・言語)
の順で高度化してきたと考えられている。
つまり、
・生きるための脳=脳幹
・調整する脳=間脳
・考える脳=大脳
人間が「心」や「思考」を持つのは、
大脳皮質が著しく発達したためである。
⸻
大脳半球の区分
大脳は機能ごとに「葉(よう)」に分かれる。
⸻
■ 前頭葉
・一次運動野(運動中枢)
・前頭前野(人格・判断・思考)
・運動性言語中枢(ブローカ野)
👉 「運動と人格」
💡 記憶フック
かつて行われた前頭葉切截術(ロボトミー)では、
前頭葉損傷で人格変化が生じた。
⸻
■ 頭頂葉
・一次体性感覚野
・知覚統合
・視覚性言語中枢(角回)
👉 「触る・感じる・空間認知」
⸻
■ 側頭葉
・聴覚中枢
・感覚性言語中枢(ウェルニッケ野)
・嗅覚中枢
・味覚中枢
👉 「聞く・理解する・におい」
💡 側頭葉は耳の横に位置する、だから聴覚。
⸻
■ 後頭葉
・一次視覚野
👉 「見る」
💡 後頭部を強打すると視野がチカチカすることがある。
→ 視覚中枢は後方に存在。
⸻
■ 島(島皮質)
・外側溝(シルビウス裂)の深部に存在
・島を覆う各葉を「弁蓋(べんがい)」という
⸻
■ 辺縁葉
・情動
・記憶
・本能行動
👉 海馬・扁桃体を含む系統
⸻
重要な溝(裂)
■ 中心溝(ローランド裂)
前頭葉と頭頂葉の境界
→ 運動野と体性感覚野の境界
👉 この溝を挟んで
前方=運動
後方=感覚
という機能的対比がある。
⸻
■ 外側溝(シルビウス裂)
前頭葉と側頭葉の境界
・内部を中大脳動脈(MCA)が走行する
・優位半球では言語中枢(ブローカ野・ウェルニッケ野)が近接する
・MCA梗塞で失語症を生じやすい
・くも膜下出血ではシルビウス裂に高吸収域がみられる
→ 脳血管障害と密接に関係する重要部位
大脳基底核
■ 大脳基底核とは
大脳の深部(白質の中)に存在する灰白質のかたまり。
👉 「運動を微調整する中枢」
大脳皮質が出す運動指令をそのまま通すのではなく、
余分な動きを抑え、滑らかで正確な運動に調整する役割をもつ。
⸻
■ 構成
大脳基底核は主に以下からなる。
・線条体
― 尾状核
― 被殻
・レンズ核
― 淡蒼球
― 被殻
※ 被殻は
線条体とレンズ核の両方に含まれる点が重要。
👉 線条体=尾状核+被殻
👉 レンズ核=淡蒼球+被殻
⸻
■ 役割
・随意運動のコントロール
・骨格筋緊張の調節
・運動の円滑化
👉 「運動の質を整える中枢」
不必要な運動を抑制し、
必要な運動を強調する。
⸻
■ 障害時の疾患
● ハンチントン舞踏病
→ 不随意運動(舞踏様運動)
舞踏様運動とは、
・自分の意思とは関係なく
・手足や顔がくねくねと不規則に動く
・踊っているように見える運動
のこと。
基底核が「不要な動きを抑制できなくなる」ことで生じる。
⸻
● パーキンソン病
→ 振戦(ふるえ)
→ 無動(動きにくさ)
→ 筋強剛(筋のこわばり)
黒質から線条体へのドパミン低下により、
運動開始が困難になる。
脳幹
脳幹とは
👉 中脳・橋・延髄をまとめた名称
生命維持に直結する重要な中枢が集まる部位。
⸻
■ 中脳
・対光反射(瞳孔反射)
・視覚反射
・聴覚反射
👉 視覚・聴覚に関する反射中枢
👉 意識レベルの維持(網様体)にも関与
⸻
(1)黒質
・随意運動における筋緊張の調整に関与
・ドパミンを産生
・大脳基底核回路の一部
・パーキンソン病に関係する
👉 黒質のドパミン神経が変性すると
運動開始が困難・筋固縮・振戦が出現する。
⸻
(2)赤質
・小脳と脊髄を中継
・運動調節に関与
・屈筋優位の調整に関与
👉 不随意運動の補助的調整を行う核。
⸻
■ 橋
・第4脳室の底をなす
・角膜反射
・排尿中枢
・呼吸調整の一部
👉 大脳と小脳を連絡する「中継基地」
👉 運動情報の橋渡しをする部位
👉 三叉神経・顔面神経などの核が存在する
⸻
■ 延髄
生命維持の中枢。
・呼吸中枢
・循環中枢
・嚥下反射
・嘔吐中枢
・唾液分泌
・味覚
・前庭反射
・咽頭反射
・咳嗽反射
・血管収縮・拡張の調節
👉 「生きるための中枢」
⸻
■ 臨床的イメージ
アニメなどで首の後ろを「トン」と叩いて気絶させる描写があるが、
あれは
👉 延髄や脳幹部に衝撃が加わると一時的に意識障害が起こりうる
というイメージに基づいている。
実際には
頸部外傷で脳幹に強い衝撃が加わると
・呼吸停止
・循環停止
を起こす可能性があり、極めて危険である。
間脳
👉 視床と視床下部をまとめた名称
大脳と脳幹の間に位置し、
「感覚の中継」と「生命活動の調整」を担う重要な部位。
⸻
■ 視床
・左右一対
・間脳の上部を占める
・第3脳室の側壁を形成する
👉 嗅覚を除くすべての感覚の中継点
視覚・聴覚・体性感覚などの情報は
いったん視床を経由してから大脳皮質へ送られる。
例えるなら
👉 「大脳へ入る前の最終ゲート」
視床が障害されると
感覚障害や意識障害が起こる。
⸻
■ 視床下部
・視床の下方に位置
・第3脳室の下壁を形成
構成要素:
・下垂体
・乳頭体
・灰白隆起
・漏斗
・視交叉
👉 恒常性維持の中枢
自律神経系と内分泌系を統合的に調節する。
主な機能:
・体温調節
・水分調節
・食欲
・生殖
・情動
👉 「本能と生命維持の司令塔」
下垂体を介してホルモン分泌を制御するため、
全身の内分泌バランスに強く関与する。
⸻
■ 進化的イメージ(理解補助)
原始的な生命活動は
脳幹と間脳が中心。
呼吸・循環・体温・食欲など
「生きるために最低限必要な機能」はここで制御される。
その上に大脳が発達したことで
・思考
・判断
・人格
・高度な言語機能
が加わった。
👉 間脳は
「本能と生命維持のコントロールセンター」
■ 脳脊髄液(CSF)の流れと役割
脳脊髄液(Cerebrospinal Fluid:CSF)は
脳室で産生され、くも膜下腔を循環し、最終的に静脈系へ吸収される。
⸻
■ 脳脊髄液の役割(なぜ存在するのか)
① 衝撃の緩衝(クッション作用)
脳を液体中に浮かせることで、外力から保護する。
実質重量(約1300g)を約50g程度まで軽減する。
② 栄養・代謝物の運搬
脳実質へ栄養供給を行い、老廃物を回収する。
③ 頭蓋内圧の調整
産生と吸収のバランスにより、一定の頭蓋内圧を維持する。
⸻
■ 産生
● 脈絡叢(みゃくらくそう)
・側脳室
・第3脳室
・第4脳室
に存在する。
リンパ液に似た無色透明な液体である脳脊髄液を産生・分泌する。
⸻
■ 流れ
脈絡叢
→ 側脳室
→ 室間孔(モンロー孔)
→ 第3脳室
→ 中脳水道
→ 第4脳室
→ ルシュカ孔(外側口)
→ マジャンディー孔(正中口)
→ くも膜下腔
→ くも膜顆粒
→ 静脈洞へ吸収
⸻
■ 各部位の補足
● 室間孔(モンロー孔)
側脳室と第3脳室をつなぐ通路。
● 中脳水道
第3脳室と第4脳室をつなぐ細い通路。
閉塞すると水頭症の原因となる。
● ルシュカ孔・マジャンディー孔
第4脳室からくも膜下腔へ流出する出口。
● くも膜顆粒
くも膜下腔の脳脊髄液が静脈血へ吸収される部位。
⸻
■ 暗記ゴロ(有料レベル例)
隣の森三中夜はマジクソ!!!!!
隣 → 側脳室
モり → モンロー孔
三 → 第3脳室
中 → 中脳水道
よ → 第4脳室
る → ルシュカ孔
マじ → マジャンディー孔
く → くも膜下腔
そ → くも膜顆粒
※ 有料暗記ノートでは、このレベルの順序固定型ゴロを紹介しています。
■ 頭の膜(髄膜)
脳は 3層の膜(髄膜) によって保護されている。
外側から内側へ:
硬膜外板
→ 硬膜静脈洞
→ 硬膜内板
→ くも膜
→ 軟膜
→ 内側(脳実質)
⸻
■ 各層の解説
● 硬膜
最も外側の強固な膜。
二層構造をもつ。
① 硬膜外板
頭蓋骨内面に強固に密着している。
② 硬膜内板
脳側に位置する層。
この2層の間に
● 硬膜静脈洞
が形成される(静脈血の通路)。
⸻
● くも膜
硬膜の内側にある薄い膜。
その下には
くも膜下腔
があり、ここを脳脊髄液が循環する。
⸻
● 軟膜
最も内側。
脳表面に密着し、脳回や脳溝に沿って入り込む。
⸻
■ 血腫との関係(ここ超重要)
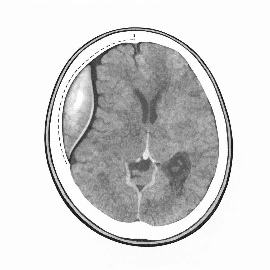
● 硬膜外血腫
出血部位:
頭蓋骨と硬膜の間
硬膜は頭蓋骨に強く張り付いているが、
外傷などで動脈(中硬膜動脈など)が破綻すると
頭蓋骨と硬膜の間に血液が溜まり、
硬膜が内側へ押し剥がされる。
その結果:
CTでは 凸レンズ状(両凸型) に見える。

⸻
● 硬膜下血腫
出血部位:
硬膜とくも膜の間
この間は本来「くっついているが固定は弱い」。
架橋静脈が破綻すると、
血液は比較的広く広がることができる。
その結果:
CTでは 三日月型(半月状) に見える。

⸻
■ 形の違いの本質
硬膜外血腫
→ 硬膜が頭蓋骨にへばりついている
→ 剥がされて内側に膨らむ
→ 両凸型
硬膜下血腫
→ 硬膜とくも膜の間は広がれる
→ さーっと広がる
→ 三日月型
⸻
■ 位置関係の最終整理
頭蓋骨
↓
硬膜外血腫
↓
硬膜
↓
硬膜下血腫
↓
くも膜
↓
くも膜下腔(脳脊髄液)
↓
軟膜
↓
脳
■ 内耳
内耳は側頭骨内に存在し、
聴覚と平衡覚を担う器官である。
⸻
■ 内耳の構成
内耳は以下の3つから構成される。
・蝸牛
・前庭
・三半規管(半規管)
⸻
● 蝸牛
聴覚を司る器官。
音振動を電気信号へ変換する。
⸻
● 前庭
直線加速度・重力の感知。
頭の傾きや体の位置変化を感知する。
⸻
● 三半規管
回転運動を感知する。
前・後・外の3方向に対応する。
⸻
■ 音の伝導経路
音は次の順に伝わる。
外耳道
→ 鼓膜
→ ツチ骨
→ キヌタ骨
→ アブミ骨
→ 蝸牛
→ 聴神経
⸻
■ 仕組みの補足(卵円窓)
アブミ骨は直接蝸牛内部に接しているわけではない。
正確には、
アブミ骨底
→ 卵円窓
→ 内リンパ振動
→ 有毛細胞刺激
→ 電気信号化
という流れになる。
卵円窓は、
固体振動(耳小骨)を液体振動へ変換する重要部位
である。
⸻
■ 暗記用語呂
「ガイコツ来たあぶねーか聞く」
ガイ = 外耳
コ = 鼓膜
ツ = ツチ骨
来た = キヌタ骨
あぶ = アブミ骨
か = 蝸牛
聞く = 聴神経
■ 外眼筋
眼球の運動を司る筋肉は 6本 ある。
・上直筋
・下直筋
・内側直筋
・外側直筋
・上斜筋
・下斜筋
⸻
■ 各筋の主な作用
● 上直筋
→ 上内側へ動かす
(主に挙上+内転)
● 下直筋
→ 下内側へ動かす
(主に下降+内転)
● 内側直筋
→ 内側(内転)
● 外側直筋
→ 外側(外転)
⸻
● 上斜筋
→ 下外側へ動かす
(主に下降+外転+内旋)
● 下斜筋
→ 上外側へ動かす
(主に挙上+外転+外旋)
⸻
■ 支配神経
外眼筋の支配神経は3つ。
● 動眼神経(Ⅲ)
→ 上直筋
→ 下直筋
→ 内側直筋
→ 下斜筋
● 滑車神経(Ⅳ)
→ 上斜筋
● 外転神経(Ⅵ)
→ 外側直筋

コメント